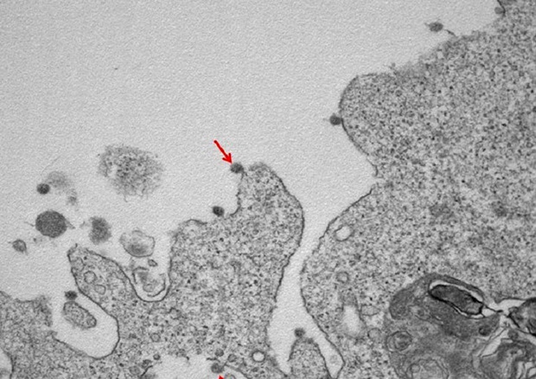
epa08339346 An undated handout picture made available by the Clinical Pathology Lab of the Department of Biomedical Sciences for Health (SCIBIS) at the University of Milan shows an arrow pointing to a novel coronavirus particle attached to cell membranes, displaying its typical glycoprotein spike 'corona' on the viral surface (issued 02 April 2020), seen in an electron microscope image, the first black and white portrait of the SARS-CoV2 virus, which causes the COVID-19 disease, isolated in the northern Italian region of Lombardy at the Sacco Hospital in Milan. EPA/UNIVERSITY OF MILAN/SCIBIS HANDOUT HANDOUT EDITORIAL USE ONLY/NO SALES
Imagini în premieră cu virusul care produce COVID-19! Imaginile sunt înfiorătoaret