Cercetătorii din Statele Unite ale Amercii și din Italia au descoperit coronavirusul care produce temutul COVID-19. În premieră, a fost data publicității imaginea virusului ucigaș care a condus la pandemie mondială.
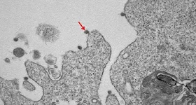
Imaginile pe care le-au prezentat cercetătorii din cele două țări au fost realizate cu ajutorul microscopului electronic în care este surprins atât coronavirusul SARS-COV-2 ce produce boala COVID-19, cât şi celulele infectate şi răspunsul sistemului imunitar.
Astfel, după cum se poate observa în imaginile care au fost colorate, SARS CoV-2 are în exterior o “coroană de țepi”. De altfel, de aici îi vine numele. Aceştia se prind de o enzimă umană numită ACE2, iar compatibilitatea dintre țepișorii virusului și enzima umană este extrem de mare, anunță stirileprotv.ro.
Virusul ucigaș COVID-19 poate fi transmis de cei infectați chiar înainte ca aceștia să resimtă primele simptome! Un studiu al Nature Medicine a relevant că pacienţii diagnosticaţi cu coronavirus pot elimina prin excreţii coronavirusul infecţios cu două sau trei zile înainte de apariţia primelor semne ale bolii.
În prezent, măsurile de control şi de răspândire a infecţiei se bazează pe timpul scurs între cazuri într-un lanţ de transmisie (interval în serie) şi perioada de incubaţie (perioada de timp dintre infectare şi apariţia simptomelor la un pacient).

Dacă intervalul în serie este mai mic decât perioada de incubaţie, acest lucru arată că transmiterea poate să fi intervenit înainte de dezvoltarea simptomelor, prin urmare măsurile de control care sunt aplicate acum ar putea să nu fie cele corect, anunță ȘtirileProTv.
Nu virusul ucigaș,COVID-19, este cel care ucide! Dar nu este o regulă generală, ci se întâmplă în formale grave ale infectării cu coronavirus.
PARLAMENTUL A VOTAT! STAREA DE URGENȚĂ DIN ROMÂNIA SE PRELUNGEȘTE CU 30 DE ZILE
Medicii spanioli sunt cei care au făcut descoperirea și care trag, astfel, un semna de alarmă. Nu COVID-19 ucide, ci răspunsul sistemului imunitar! Jurnaliştii de la Euronews au strâns câteva date confirmate despre Covid-19, pe care vi le prezentăm mai jos: (NU RATA: M.A.I., MESAJ EMOȚIONAT PENTRU EROII DIN LINIA ÎNTÂI! CE OMAGIU LE-A FOST ADUS MEDICILOR ȘI POLIȚIȘTILOR CARE LUPTĂ ÎMPOTRIVA COVID-19)
– Jumătate din cei infectaţi nu dezvoltă simptome, dar sunt un vector de transmitere a bolii
– Cei mai mulţi pacienţi au simptome moderate
– La pacienţii cu forme severe, nu virusul ucide, ci o reacţie necontrolată a sistemului imunitar, o furtună de citokine care poate afecta mai multe organe vitale
– Nu se ştie de ce unii pacienţi, indiferent de vârstă, au simptome severe
– Virusul poate ataca sistemul nervos. În anumite cazuri, insuficienţa respiratorie este legată de insuficienţa neurologică, nu de pneumonie
– Nu se ştie când încetează să fie contagioşi pacienţii vindecaţi
– Lucrurile care s-au schimbat, de la izbucnirea pandemiei şi până acum, au determinat guvernele lumii să ia decizii care s-au tot schimbat în ultimele trei luni, de la purtarea măştii, până la simptomele bolii sau metodele de tratament.