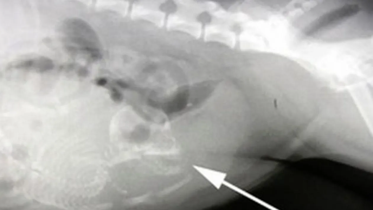
Un baietel de 2 ani din China a ajuns de urgenta la spital, pentru ca stomacul il durea si I se umflase foarte tare. Medicii i-au facut o ecografie si au fost socati cand s-au uitat pe imagini.
Micutul Xiao Feng din Huaxi abia mai putea sa respire, dupa ce intregul abdomen i se umflase, scrie Huffington Post.
Medicii au vazut pe ecografie ca baiatul avea in corp fetusul nedezvoltat al unui frate geaman. Xiao a fost operat imediat si acum va duce o viata normala.
Baiatul ar fi trebuit sa aiba un farte geaman identic, dar acesta nu s-a mai dezvoltat si a fost pur si simplu „absorbit” in abdomenul lui Xiao.

Daca operatia nu ar fiu fost facuta la timp, baietelul ar fi murit. Fetusul avea aproximativ 25 de cm lungime.
R.R.