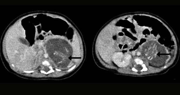
O fetita in varsta de doar trei saptamani i-a socat pe medici dupa ce acestia au descoperit ca micuta era insarcinata cu gemeni.
Potrivit Mirror.co.uk, fetusii pe care bebelusul ii purta erau deja formati, aveau maini, picioare, coloana vertebrala si intestine. Unul dintre fetusi cantarea 15 grame, iar celalalt 10 grame. Bebelusul a fost supus unei interventii chirurgicale pentru ca fetusii sa fie indepartati.

Cazul din China este foarte rar, fiind posibil o data la 500.000 de naşteri. Medicii au declarat ca este primul caz de acest gen din cariera lor si ca la nivel mondial s-au inregistrat 200 astfel de cazuri. Cauza acestei anomalii nu este cunoscuta, insa medicii presupun ca ar avea legatura cu avorturile pe care le face o femeie