Acasă » Știri » Știri externe » Medicii credeau ca are o tumora si l-au operat! Au ramas muti de uimire cand au vazut ce se afla in plamanii lui! Statea acolo de 40 de ani!

Medicii credeau ca are o tumora si l-au operat! Au ramas muti de uimire cand au vazut ce se afla in plamanii lui! Statea acolo de 40 de ani!

De: Cancan 29/09/2017 | 12:39
Medicii credeau ca are o tumora si l-au operat! Au ramas muti de uimire cand au vazut ce se afla in plamanii lui! Statea acolo de 40 de ani!

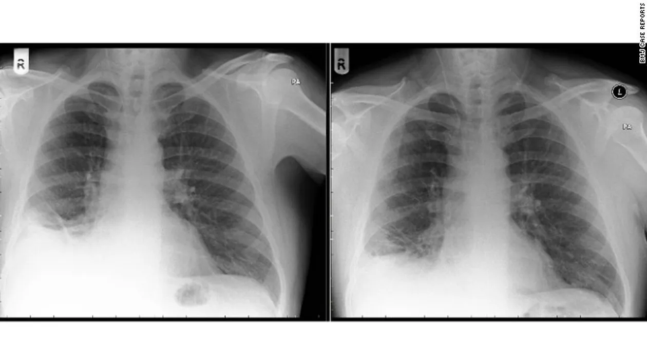
Un barbat in varsta de 50 de ani s-a prezentat la doctor cu dureri in piept si o tuse care nu-i mai dadea pace. 

Problemele medicale ale pacientului au debutat pe cand avea 46 de ani. Doctorii care l-au consultat au crezut ca e un fel de cancer la plamani si ca trebuie operat. 
 
In momentul in care l-au deschis, au ramas muti de uimire cand in locul unei formatiuni canceroase au descoperit o…
 
Se pare ca barbatul a inghitit-o inca din 1974. In acel an, cu ocazia aniversarii varstei de 7 ani, barbatul a primit cadou un…
 

Afla pe Ciao.ro ce a stat in plamanii barbatului aproape 40 de ani!

Recomandarea video

Urmărește Cancan.ro pe Google News
×