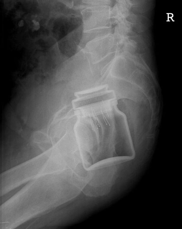
Un bărbat de 52 de ani, dintr-o comună din marginea judeţului Botoșani, a ajuns pe data de 18 mai la spital după ce și-a introdus în anus un borcan de sticlă. Medicii au fost nevoiți să intervină chirugical pentru a îndepărta corpul străin din corpul pacientului. El nu se află la prima „aventură” de acest fel.
Pe 18 mai 2019, același individ a ajuns la spital cu o ambulanţă după un experiment care s-a încheiat extrem de prost, acesta acuzând că are o sângerare la nivelul anusului. În momentul în care au vrut să îl consulte, medicii au primit vestea şocantă că motivul sângerării ar fi fost un pahar de sticlă, scrie Monitorul de Botoșani.
„Iniţial am crezut că glumeşte. La o examinare sumară se putea vedea că este vorba de un corp străin, însă nu am crezut că ar fi chiar un pahar. A fost trimis la o radiografie, iar rezultatul ne-a lăsat mască pe toţi. Era un pahar cu gura în jos”, a spus amuzat un medic din cadrul Unităţii de Primiri Urgenţe, în urmă cu un an.

Cadrele medicale, aproape că nici nu au observat similitudinile, chiar pacientul fiind cel care le-a amintit, cu o oarecare mândrie, cine este.
„Pacientul se afla la baie, unde era pregătit pentru internare, pentru a fi supus unei intervenţii chirurgicale de urgenţă. Personalul de la baie vorbea şi îşi spuneau că acum un an fusese un bărbat cu un pahar în anus. Iar el, foarte dezinvolt, de pe targă, a ridicat mâna şi le-a spus: Eu sunt ăla!”, a povestit un cadru medical din UPU-SMURD, potrivit aceleași surse.
Cadrele medicale au fost nevoite să îi interneze imediat acesta fiind pregătit pentru o intervenţie chirurgicală. „S-a încercat scoaterea obiectului pe aceeaşi cale, însă a fost imposibil, existând pericolul de a se sparge în interior. Fiind vorba de o zonă puternic vascularizată, era pericolul unei hemoragii masive şi deces.
Borcanul, la fel ca şi paharul de anul trecut, era blocat în zona rectului, astfel că s-a intrat chirurgical şi a fost scos prin abdomen”, a precizat un medic chirurg din cadrul Spitalului Judeţean de Urgenţă „Mavromati”.
Ulterior, pacientul a fost internat pe secţia de reanimare, starea lui fiind bună, iar borcanul a fost oprit de medici pentru a fi pus la colecţia de obiecte ciudate scoase din pacienţi, cu siguranţă la loc de cinste alături de paharul din urmă cu un an.
Bărbatul nu le-a spus cu exactitate medicilor motivul pentru care a recurs la gestul bizar şi extrem de periculos, acesta spunând doar că avea o mâncărime şi usturime de care a încercat astfel să scape.
Imagine de Ryan McGuire de la Pixabay